BELGIAN MS SYMPOSIUM 2022
Saturday May 28th
From 8:30 to 14:00
Hôtel Dolce la Hulpe Brussels****
Welcome to Belgian MS Symposium
8th edition of the Belgian Multiple Sclerosis Symposium
We are waiting for you for an inspiring day at Dolce By Wyndham La Hulpe Brussels.
The symposium is organized by the Belgian Society of Radiology, XperMed and the Radiodiagnostic Departement of the University of Liège, we are waiting for you in a luxurious place.
Program
08:30
Welcome coffee & registration
08:50
Introduction
Dr TSHIBANDA
CHU Liège
09:00
Evoked Potentials & MS
Pr DIVE
CHU Liège
09:30
Remyelinisation & MS
Pr VERMERSCH
CHU Lille
10:00
Revalidation & MS
Pr KOS
MS Center Melsbroek
10:30
Coffee break
11:00
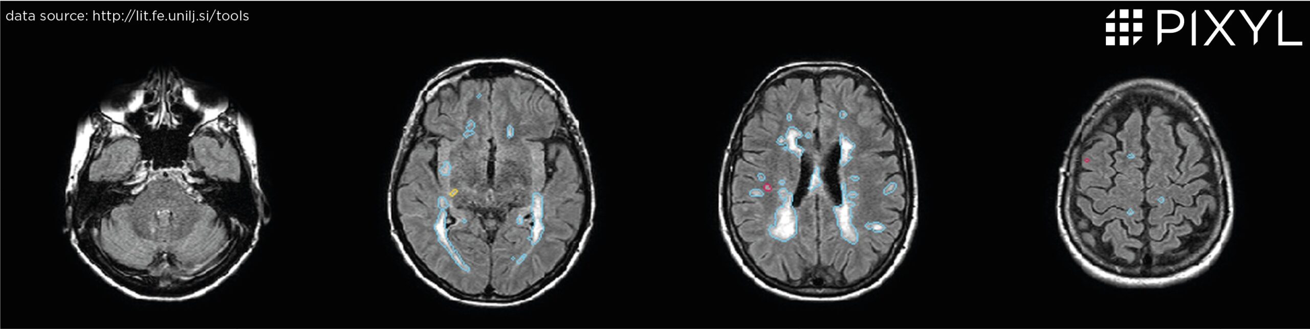
Quantification in MS
Mrs MUÑOZ RAMÍREZ
Pixyl
11:30
Infections & MS
Pr WATTJES
Medizinische Hochschule Hannover
12:00
Workshop ‘Young Neurologists’
Dr LOMMERS
CHU Liège
12:30
AAN Highlights
Dr DECOO
AZ Alma
13:00
Lunch
Registration
Participation is free.
Please register before October 28th 2022 via :
- E-mail: neuroimagerie@chuliege.be
- Fax: send response card to +32 (0)4 366 85 74
Sponsored by
Location
Hotel Dolce La Hulpe
Chaussée de Bruxelles 135
1310 La Hulpe – Belgium
Directions: www.dolcelahulpe.com
Free parking at the hotel for all participants





